Нижегородские хирурги спасли 15-летнюю пациентку с инсультом

По словам врачей, подобные кровоизлияния диагностируются крайне редко, не более двух случаев в год.

По словам врачей, подобные кровоизлияния диагностируются крайне редко, не более двух случаев в год.

Нижегородские хирурги спасли 15-летнюю пациентку с инсультом, сообщается на странице Областной детской клинической больницы в соцсетях.

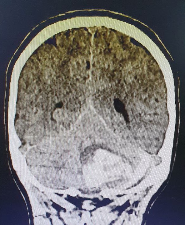
Девушка почувствовала себя плохо еще дома. У нее заболела голова, появились судороги и нарушение сознания. Медики доставили пациентку в НОДКБ, где во время КТ мозга врачи диагностировали кровоизлияние. С подозрением на спонтанный разрыв сосудов девушку госпитализировали в отделение реанимации.

По словам врачей, на принятие решения о тактике лечения оставались считанные часы. Через сутки после госпитализации нейрохирурги НОДКБ совместно с сосудистым хирургом Городской клинической больницы № 13 Анатолием Шелудяковым успешно удалили внутримозговую и субдуральную гематомы мозжечка, также удалена сосудистая мальформация.

«Об этой коварной аномалии развития пациенты часто не знают до наступления сосудистой катастрофы. Спонтанно развившееся кровоизлияние наступает из-за разрыва артериовенозной мальформации — „сосудистого клубка“ из переплетенных вен и артерий», — сообщил врач-нейрохирург НОДКБ Дмитрий Кирин.

Медики сообщают, что пациентка уже переведена из реанимации в нейрохирургическое отделение, динамика положительная, ей разрешили сидеть в кровати. Девушке предстоит курс реабилитации и МСКТ-ангиография для исключения других патологических сетей сосудов головного мозга.

По словам врачей, подобные кровоизлияния диагностируются крайне редко, не более двух случаев в год.

Последние новости

После грозы техника не включается: кто виноват и что делать

Разбираемся, почему телевизоры и компьютеры отказываются работать после удара молнии

Что внутри блока питания? Просто о сложном – мини-экскурсия в железное сердце техники

Разбираем блок питания на детали и объясняем, как всё это работает — без скуки и формул

Как выбрать варочный котел для кальянного табака? Полезные рекомендации от производителя МОЛКОМ

Узнайте, как выбрать варочный котел для кальянного табака, учитывая объем, материал, нагрев, мешалку и автоматизацию.

Коррекция фиброза и возрастных изменений: когда показан эндотканевой лифтинг

Как современная технология помогает вернуть коже упругость, убрать отёки и улучшить рельеф без хирургии

На этом сайте вы найдете актуальные вакансии в Ноябрьске с предложениями работы от ведущих работодателей города

Комментарии (0)

Добавить комментарий

Ваш email не публикуется. Обязательные поля отмечены *